These images are arranged chronologically (younger to older): one age per row. Each row is in order: straight on, lower occlusal surface, left side, and right side. Scroll down and up, looking at only one column, to compare each view in time.
TO RETURN TO THE COMMUNITY APP, RETURN TO THE APP IN YOUR DEVICE.
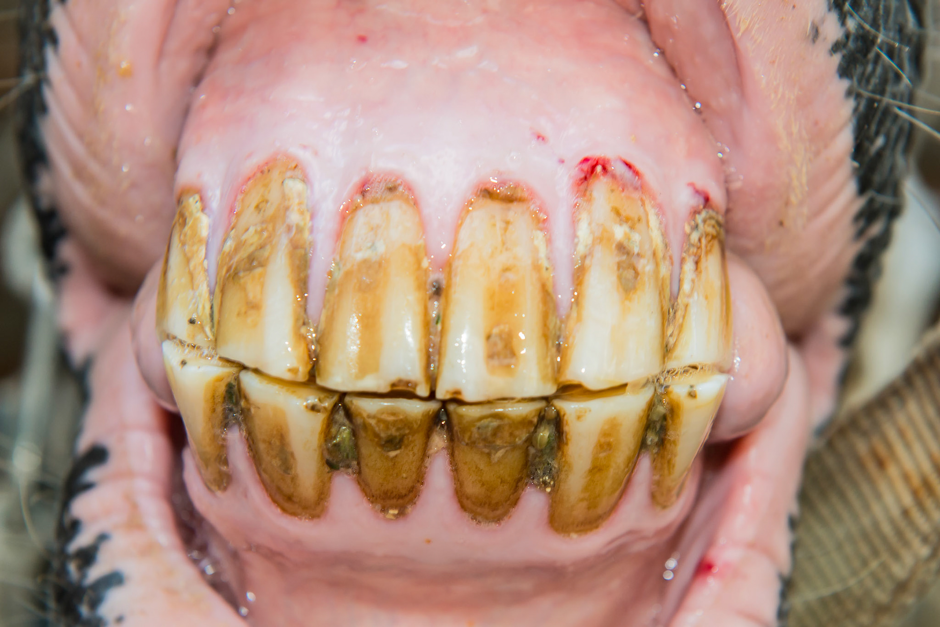
25yr old
25yr old
25yr old
25yr old
25yr old
25yr old
25yr old
25yr old
25yr old
25yr old
25yr old
25yr old
25yr old
25yr old
25yr old
25yr old
25yr 1mo
25yr 1mo
25yr 1mo
25yr 1mo
25yr 1mo
25yr 1mo
25yr 1mo
25yr 1mo
25yr 6mo
25yr 6mo
25yr 6mo
25yr 6mo
25yr 6mo
25yr 6mo
25yr 6mo
25yr 6mo
26yr old
26yr old
26yr old
26yr old
26yr old
26yr old
26yr old
26yr old
26yr old
26yr old
26yr old
26yr old
26yr old
26yr old
26yr old
26yr old
27yr old, EOTRH root enlargement, gum recession, red dots, tooth decay.
27yr old, EOTRH root enlargement, gum recession, red dots, tooth decay.
27yr old, EOTRH root enlargement, gum recession, red dots, tooth decay.
27yr old, EOTRH root enlargement, gum recession, red dots, tooth decay.
27yr old, EOTRH root enlargement, gum recession, red dots, tooth decay.
27yr old, EOTRH root enlargement, gum recession, red dots, tooth decay.
27yr old, EOTRH root enlargement, gum recession, red dots, tooth decay.
27yr old, EOTRH root enlargement, gum recession, red dots, tooth decay.
27yr 3mo - EOTRH and an underbite but only from the forward displacement of the lower left incisors. Note more receding gums on the lower left tongue side  and upper left lip side than on the right.
27yr 3mo - EOTRH and an underbite but only from the forward displacement of the lower left incisors. Note more receding gums on the lower left tongue side and upper left lip side than on the right.
27yr 3mo - EOTRH and an underbite but only from the forward displacement of the lower left incisors. Note more receding gums on the lower left tongue side  and upper left lip side than on the right.
27yr 3mo - EOTRH and an underbite but only from the forward displacement of the lower left incisors. Note more receding gums on the lower left tongue side and upper left lip side than on the right.
27yr 3mo - EOTRH and an underbite but only from the forward displacement of the lower left incisors. Note more receding gums on the lower left tongue side  and upper left lip side than on the right.
27yr 3mo - EOTRH and an underbite but only from the forward displacement of the lower left incisors. Note more receding gums on the lower left tongue side and upper left lip side than on the right.
27yr 3mo - EOTRH and an underbite but only from the forward displacement of the lower left incisors. Note more receding gums on the lower left tongue side  and upper left lip side than on the right.
27yr 3mo - EOTRH and an underbite but only from the forward displacement of the lower left incisors. Note more receding gums on the lower left tongue side and upper left lip side than on the right.
27yr 3mo
27yr 3mo
27yr 3mo
27yr 3mo
27yr 3mo
27yr 3mo
27yr 3mo
27yr 3mo
27yr 6 mo
27yr 6 mo
27yr 6 mo
27yr 6 mo
27yr 6 mo
27yr 6 mo
27yr 6 mo
27yr 6 mo
27yr 6 mo
27yr 6 mo
27yr 6 mo
27yr 6 mo
27yr 6 mo
27yr 6 mo
27yr 6 mo
27yr 6 mo
28yr old
28yr old
28yr old
28yr old
28yr old (almost a straight on view)
28yr old (almost a straight on view)
28yr old
28yr old
28yr old
28yr old
28yr old
28yr old
28yr old
28yr old
28yr old
28yr old
28yr 3mo
28yr 3mo
28yr 3mo
28yr 3mo
28yr 3mo
28yr 3mo
28yr 3mo
28yr 3mo
28yr 3mo
28yr 3mo
28yr 3mo
28yr 3mo
28yr 3mo
28yr 3mo
28yr 3mo
28yr 3mo
28yr 6mo
28yr 6mo
28yr 6mo
28yr 6mo
28yr 6mo
28yr 6mo
28yr 6mo
28yr 6mo
29yr old
29yr old
29yr old
29yr old
29yr old
29yr old
29yr old
29yr old
31yr old
31yr old
31yr old
31yr old
31yr Naturally opened mouth with ½ cheek teeth. Also tongue as cause of sharp canines and angle of incisors.
31yr Naturally opened mouth with ½ cheek teeth. Also tongue as cause of sharp canines and angle of incisors.
31yr old
31yr old
31yr 3mo
31yr 3mo
31yr 3mo
31yr 3mo
31yr 3mo
31yr 3mo
31yr 3mo
31yr 3mo
32yr old
32yr old
32yr old
32yr old
32yr old
32yr old
32yr old
32yr old
32yr old
32yr old
32yr old
32yr old
32yr old
32yr old
32yr old
32yr old
32yr old, EOTRH
32yr old, EOTRH
32yr old, EOTRH
32yr old, EOTRH
32yr old, EOTRH
32yr old, EOTRH
32yr old, EOTRH
32yr old, EOTRH
34yr old
34yr old
34yr old
34yr old
34yr old
34yr old
34yr old
34yr old
34yr old
34yr old
34yr old
34yr old
34yr old
34yr old
34yr old
34yr old
34yr 4mo
34yr 4mo
34yr 4mo
34yr 4mo
34yr 4mo
34yr 4mo
34yr 4mo
34yr 4mo
35yr old
35yr old
35yr old
35yr old
35yr old
35yr old
35yr old
35yr old
37yr old
37yr old
37yr old
37yr old
37yr old
37yr old
37yr old
37yr old
Back to Top