These images are arranged chronologically (younger to older): one age per row. Each row is in order: straight on, lower occlusal surface, left side, and right side. Scroll down and up, looking at only one column, to compare each view in time.
TO RETURN TO THE COMMUNITY APP, RETURN TO THE APP IN YOUR DEVICE.
6yr old
6yr old
6yr old
6yr old
6yr old
6yr old
6yr old
6yr old
6yr old
6yr old
6yr old
6yr old
6yr old
6yr old
6yr old
6yr old
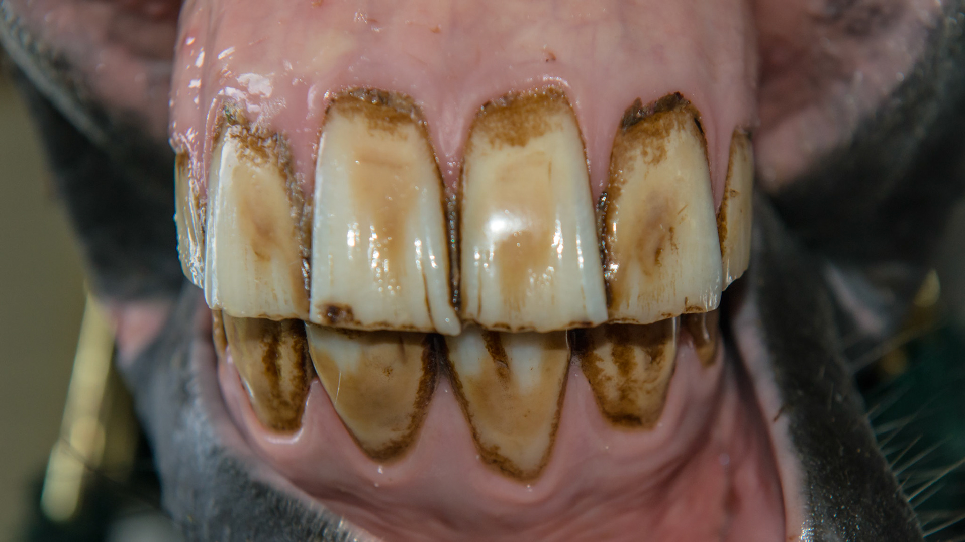
6yr old  Damaged and stained surfaces of all incisors.  Unknown history.
6yr old Damaged and stained surfaces of all incisors. Unknown history.
6yr old  Damaged and stained surfaces of all incisors.  Unknown history.
6yr old Damaged and stained surfaces of all incisors. Unknown history.
6yr old  Damaged and stained surfaces of all incisors.  Unknown history.
6yr old Damaged and stained surfaces of all incisors. Unknown history.
6yr old  Damaged and stained surfaces of all incisors.  Unknown history.
6yr old Damaged and stained surfaces of all incisors. Unknown history.
6yr old
6yr old
6yr old
6yr old
6yr old
6yr old
6yr old
6yr old
6yr old
6yr old
6yr old
6yr old
6yr old
6yr old
6yr old
6yr old
6yr 2mo
6yr 2mo
6yr 2mo
6yr 2mo
6yr 2mo
6yr 2mo
6yr 2mo
6yr 2mo
6yr 2mo
6yr 2mo
6yr 2mo
6yr 2mo
6yr 2mo
6yr 2mo
6yr 2mo
6yr 2mo
6yr 5mo Abnormally shaped #303
6yr 5mo Abnormally shaped #303
6yr 5mo Abnormally shaped #303
6yr 5mo Abnormally shaped #303
6yr 5mo Abnormally shaped #303
6yr 5mo Abnormally shaped #303
6yr 5mo Abnormally shaped #303
6yr 5mo Abnormally shaped #303
6yr 6mo
6yr 6mo
6yr 6mo
6yr 6mo
6yr 6mo
6yr 6mo
6yr 6mo
6yr 6mo
7yr old
7yr old
7yr old
7yr old
7yr old
7yr old
7yr old
7yr old
7yr old
7yr old
7yr old
7yr old
7yr old
7yr old
7yr old
7yr old
7yr old
7yr old
7yr old
7yr old
7yr old
7yr old
7yr old
7yr old
7yr old
7yr old
7yr old
7yr old
7yr old
7yr old
7yr old
7yr old
7yr 1mo
7yr 1mo
7yr 1mo
7yr 1mo
7yr 1mo
7yr 1mo
7yr 1mo
7yr 1mo
7yr 4mo
7yr 4mo
7yr 4mo
7yr 4mo
7yr 5mo
7yr 5mo
7yr 4mo
7yr 4mo
7yr 5mo
7yr 5mo
7yr 5mo
7yr 5mo
7yr 4mo
7yr 4mo
7yr 5mo
7yr 5mo
7yr 6mo
7yr 6mo
7yr 6mo
7yr 6mo
7yr 6mo
7yr 6mo
7yr 6mo
7yr 6mo
7yr 7mo
7yr 7mo
7yr 7mo
7yr 7mo
7yr 7mo
7yr 7mo
7yr 7mo
7yr 7mo
8yr old
8yr old
8yr old
8yr old
8yr old
8yr old
8yr old
8yr old
8yr old
8yr old
8yr old
8yr old
8yr old
8yr old
8yr old
8yr old
8yr old
8yr old
8yr old
8yr old
8yr old
8yr old
8yr old
8yr old
8yr old
8yr old
8yr old
8yr old
8yr old
8yr old
8yr old
8yr old
8yr old
8yr old
8yr old
8yr old
8yr old
8yr old
8yr old
8yr old
8yr old
8yr old
8yr old
8yr old
8yr old
8yr old
8yr old
8yr old
8yr old
8yr old
8yr old
8yr old
8yr old
8yr old
8yr old
8yr old
8yr 1mo
8yr 1mo
8yr 1mo
8yr 1mo
8yr 1mo
8yr 1mo
8yr 1mo
8yr 1mo
8yr 4mo
8yr 4mo
8yr 4mo
8yr 4mo
8yr 4mo
8yr 4mo
8yr 4mo
8yr 4mo
8yr 4mo
8yr 4mo
8yr 4mo
8yr 4mo
8yr 4mo
8yr 4mo
8yr 4mo
8yr 4mo
9yr old
9yr old
9yr old
9yr old
9yr old
9yr old
9yr old
9yr old
9yr old
9yr old
9yr old
9yr old
9yr old
9yr old
9yr old
9yr old
9yr old
9yr old
9yr old
9yr old
9yr old
9yr old
9yr old
9yr old
9yr 1mo
9yr 1mo
9yr 1mo
9yr 1mo
9yr 1mo
9yr 1mo
9yr 1mo
9yr 1mo
9yr 2mo
9yr 2mo
9yr 2mo
9yr 2mo
9yr 2mo
9yr 2mo
9yr 2mo
9yr 2mo
9yr 3mo
9yr 3mo
9yr 3mo
9yr 3mo
9yr 3mo
9yr 3mo
9yr 3mo
9yr 3mo
9yr 3mo
9yr 3mo
9yr 3mo
9yr 3mo
9yr 3mo
9yr 3mo
9yr 3mo
9yr 3mo
9yr 4mo
9yr 4mo
9yr 4mo
9yr 4mo
9yr 4mo
9yr 4mo
9yr 4mo
9yr 4mo
9yr 9mo
9yr 9mo
9yr 9mo
9yr 9mo
9yr 9mo
9yr 9mo
9yr 9mo
9yr 9mo
10yr old
10yr old
10yr old
10yr old
10yr old
10yr old
10yr old
10yr old
10yr old
10yr old
10yr old
10yr old
10yr old
10yr old
10yr old
10yr old
10yr old
10yr old
10yr old
10yr old
10yr old
10yr old
10yr old
10yr old
10yr old
10yr old
10yr old
10yr old
10yr old
10yr old
10yr old
10yr old
10yr old
10yr old
10yr old
10yr old
10yr old
10yr old
10yr old
10yr old
10yr old
10yr old
10yr old
10yr old
10yr old
10yr old
10yr old
10yr old
10yr old
10yr old
10yr old
10yr old
10yr old
10yr old
10yr old
10yr old
10yr 1mo
10yr 1mo
10yr 1mo
10yr 1mo
10yr 1mo
10yr 1mo
10yr 1mo
10yr 1mo
10yr 2mo
10yr 2mo
10yr 2mo
10yr 2mo
10yr 2mo
10yr 2mo
10yr 2mo
10yr 2mo
10yr 5mo
10yr 5mo
10yr 5mo
10yr 5mo
10yr 5mo
10yr 5mo
10yr 5mo
10yr 5mo
10yr 6mo
10yr 6mo
10yr 6mo
10yr 6mo
10yr 6mo
10yr 6mo
10yr 6mo
10yr 6mo
11yr old
11yr old
11yr old
11yr old
11yr old
11yr old
11yr old
11yr old
11yr old
11yr old
11yr old
11yr old
11yr old
11yr old
11yr old
11yr old
11yr old
11yr old
11yr old
11yr old
11yr old
11yr old
11yr old
11yr old
11yr 3mo
11yr 3mo
11yr 3mo
11yr 3mo
11yr 3mo
11yr 3mo
11yr 3mo
11yr 3mo
11yr 4mo
11yr 4mo
11yr 4mo
11yr 4mo
11yr 4mo
11yr 4mo
11yr 4mo
11yr 4mo
11yr 4mo
11yr 4mo
11yr 4mo
11yr 4mo
11yr 4mo
11yr 4mo
11yr 4mo
11yr 4mo
11yr 4mo
11yr 4mo
11yr 4mo
11yr 4mo
11yr 4mo
11yr 4mo
11yr 4mo
11yr 4mo
11yr 4mo
11yr 4mo
11yr 4mo
11yr 4mo
11yr 4mo
11yr 4mo
11yr 4mo
11yr 4mo
11yr 5mo
11yr 5mo
11yr 5mo
11yr 5mo
11yr 5mo
11yr 5mo
11yr 5mo
11yr 5mo
12yr old
12yr old
12yr old
12yr old
12yr old
12yr old
12yr old
12yr old
12yr old
12yr old
12yr old
12yr old
12yr old
12yr old
12yr old
12yr old
12yr 1mo
12yr 1mo
12yr 1mo
12yr 1mo
12yr 1mo
12yr 1mo
12yr 1mo
12yr 1mo
12yr 3mo
12yr 3mo
12yr 3mo
12yr 3mo
12yr 3mo
12yr 3mo
12yr 3mo
12yr 3mo
12yr 7mo
12yr 7mo
12yr 7mo
12yr 7mo
12yr 7mo
12yr 7mo
12yr 7mo
12yr 7mo
12yr 8mo note EOTRH
12yr 8mo note EOTRH
12yr 8mo note EOTRH
12yr 8mo note EOTRH
12yr 8mo note EOTRH
12yr 8mo note EOTRH
12yr 8mo note EOTRH
12yr 8mo note EOTRH
Back to Top