These images are arranged chronologically, with younger at the top to older at the bottom.
TO RETURN TO THE COMMUNITY APP, RETURN TO THE APP IN YOUR DEVICE.
2yr 7mo
2yr 7mo
2yr old
2yr old
2yr 8mo
2yr 8mo
2yr 9mo
2yr 9mo
2yr 7mo
2yr 7mo
3yr 3mo
3yr 3mo
3yr old
3yr old
3yr old
3yr old
3yr 8mo
3yr 8mo
3yr 7mo
3yr 7mo
3yr 7mo
3yr 7mo
3yr 9mo
3yr 9mo
3yr 10mo
3yr 10mo
4yr old
4yr old
4yr 5mo
4yr 5mo
4yr 3mo
4yr 3mo
4yr 5mo
4yr 5mo
4yr 2mo
4yr 2mo
4yr 10mo
4yr 10mo
4yr old
4yr old
4yr 2mo
4yr 2mo
4yr 2mo
4yr 2mo
5yr 1mo
5yr 1mo
5yr old
5yr old
5yr 3mo
5yr 3mo
5yr 4mo
5yr 4mo
5yr 3mo
5yr 3mo
5yr 9mo
5yr 9mo
5yr 6mo
5yr 6mo
5yr 4mo
5yr 4mo
5yr old
5yr old
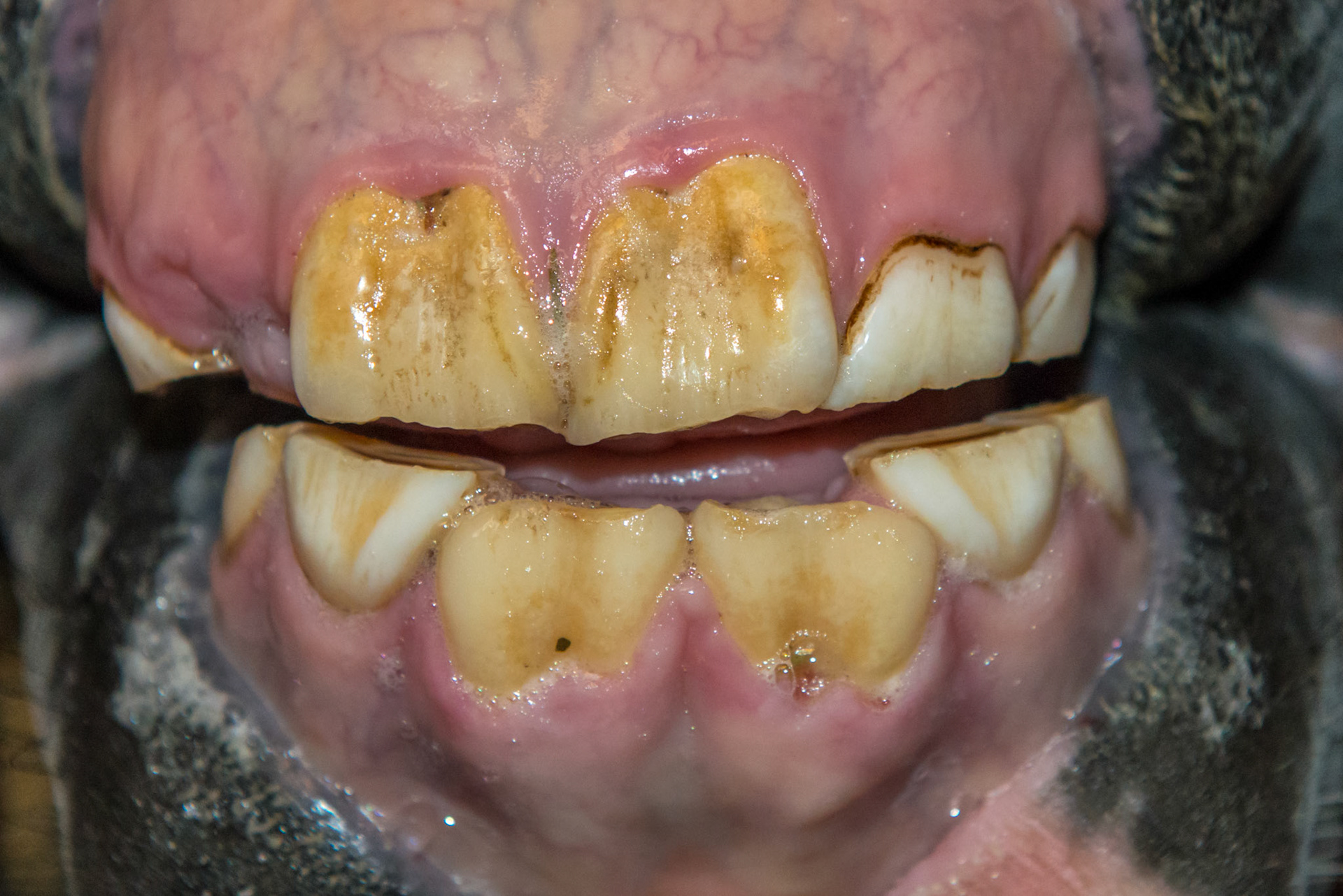
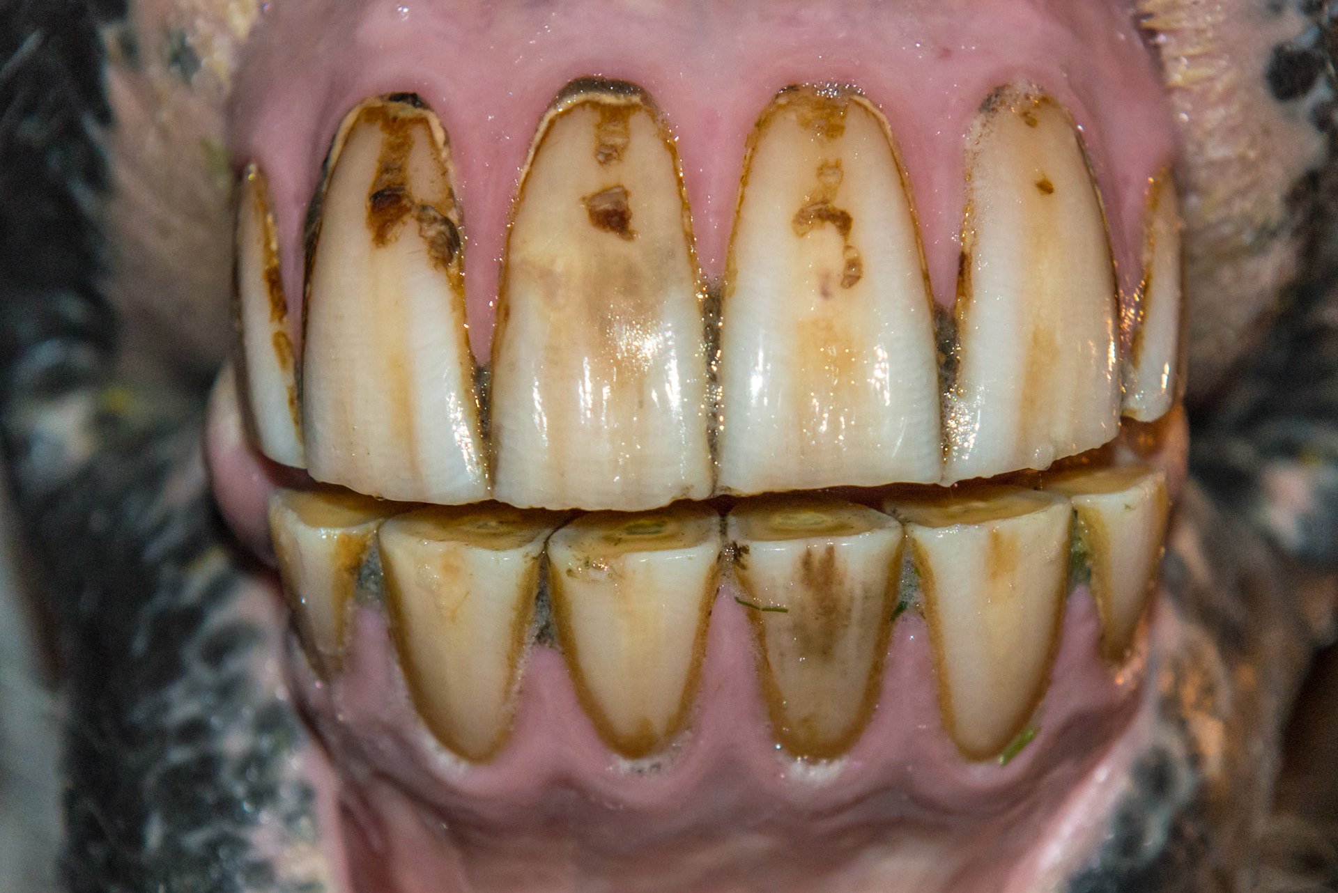
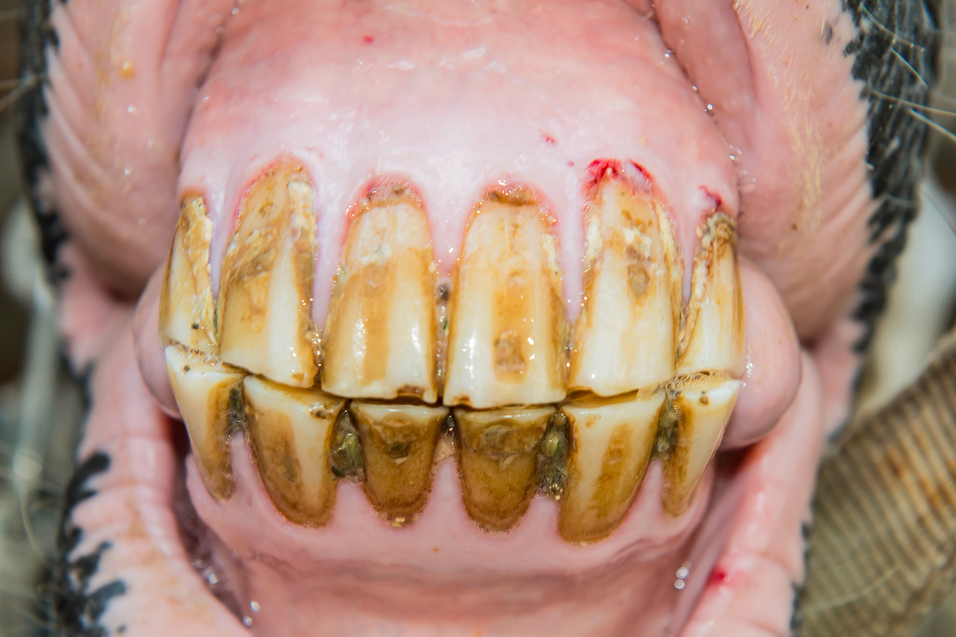
6yr old  Damaged and stained surfaces of all incisors.  Unknown history.
6yr old Damaged and stained surfaces of all incisors. Unknown history.
6yr old
6yr old
6yr 2mo
6yr 2mo
6yr 2mo
6yr 2mo
6yr old
6yr old
6yr 6mo
6yr 6mo
6yr 5mo Abnormally shaped #303
6yr 5mo Abnormally shaped #303
6yr old
6yr old
6yr old
6yr old
7yr old
7yr old
7yr 1mo
7yr 1mo
7yr 5mo
7yr 5mo
7yr 4mo
7yr 4mo
7yr old
7yr old
7yr 6mo
7yr 6mo
7yr 7mo
7yr 7mo
7yr old
7yr old
7yr old
7yr old
8yr old
8yr old
8yr old
8yr old
8yr old
8yr old
8yr 4mo
8yr 4mo
8yr 4mo
8yr 4mo
8yr old
8yr old
8yr old
8yr old
8yr 1mo
8yr 1mo
8yr old
8yr old
8yr old
8yr old
9yr old
9yr old
9yr 3mo
9yr 3mo
9yr old
9yr old
9yr 3mo
9yr 3mo
9yr 4mo
9yr 4mo
9yr 9mo
9yr 9mo
9yr old
9yr old
9yr 1mo
9yr 1mo
9yr 2mo
9yr 2mo
10yr old
10yr old
10yr old
10yr old
10yr 5mo
10yr 5mo
10yr old
10yr old
10yr old
10yr old
10yr 2mo
10yr 2mo
10yr 6mo
10yr 6mo
10yr 1mo
10yr 1mo
10yr old
10yr old
10yr old
10yr old
10yr old
10yr old
11yr old
11yr old
11yr 4mo
11yr 4mo
11yr old
11yr old
11yr old
11yr old
11yr 4mo
11yr 4mo
11yr 5mo
11yr 5mo
11yr 3mo
11yr 3mo
11yr 4mo
11yr 4mo
11yr 4mo
11yr 4mo
12yr old
12yr old
12yr old
12yr old
12yr 3mo
12yr 3mo
12yr 7mo
12yr 7mo
12yr 8mo note EOTRH
12yr 8mo note EOTRH
12yr 1mo
12yr 1mo
13yr 2mo
13yr 2mo
13yr 3mo
13yr 3mo
13yr 3mo - incisor cap remnants next to 203 and 403
13yr 3mo - incisor cap remnants next to 203 and 403
13yr 2mo
13yr 2mo
13yr 6mo
13yr 6mo
13yr old
13yr old
13yr 8mo
13yr 8mo
13yr 4mo
13yr 4mo
13yr 5mo
13yr 5mo
13yr 3mo
13yr 3mo
13yr 6mo
13yr 6mo
13yr old
13yr old
14yr old
14yr old
14yr 3mo
14yr 3mo
14yr old
14yr old
14yr old
14yr old
14yr old
14yr old
15yr old
15yr old
15yr old
15yr old
15yr 5mo
15yr 5mo
15yr old
15yr old
15yr 3mo
15yr 3mo
15yr 5mo
15yr 5mo
15yr 6mo
15yr 6mo
16yr 5mo -  Early stage of EOTRH with  thickening of the gums around the canines, #404 early necrosis, bulbous appearance of incisors. No pain of difficulty in using incisors.
16yr 5mo - Early stage of EOTRH with thickening of the gums around the canines, #404 early necrosis, bulbous appearance of incisors. No pain of difficulty in using incisors.
16yr 4mo
16yr 4mo
16yr old
16yr old
16yr 4mo
16yr 4mo
16yr old
16yr old
16yr 2mo
16yr 2mo
16yr 7mo
16yr 7mo
16yr 1mo
16yr 1mo
16yr 3mo
16yr 3mo
16yr 4mo
16yr 4mo
17yr 6mo
17yr 6mo
17yr old
17yr old
18yr 4mo
18yr 4mo
18yr old
18yr old
18yr old
18yr old
18yr old
18yr old
19yr 3mo - Bells palsy - tongue protrudes on right side and teeth are slightly out of alignment.
19yr 3mo - Bells palsy - tongue protrudes on right side and teeth are slightly out of alignment.
19yr old
19yr old
19yr 3mo
19yr 3mo
19yr old
19yr old
19yr 6mo
19yr 6mo
19yr old
19yr old
19yr old
19yr old
19yr 10mo
19yr 10mo
19yr 3mo - 303 missing
19yr 3mo - 303 missing
20yr old Arabian gelding. Note angled occlusal surface of incisors and the tongue lays on the left side.
20yr old Arabian gelding. Note angled occlusal surface of incisors and the tongue lays on the left side.
20yr - EOTRH Receding gum line, bulbous incisors, thickening of the gum line.
20yr - EOTRH Receding gum line, bulbous incisors, thickening of the gum line.
20yr old
20yr old
20yr
20yr
20yr 6mo
20yr 6mo
20yr 6mo
20yr 6mo
20yr 1mo
20yr 1mo
20yr 1mo
20yr 1mo
21yr 2mo - with relaxed incisors in a natural position
21yr 2mo - with relaxed incisors in a natural position
21yr old
21yr old
21yr old
21yr old
21yr old
21yr old
21yr old
21yr old
21yr 4mo
21yr 4mo
22yr - Horse with relaxed incisors in a natural position
22yr - Horse with relaxed incisors in a natural position
22yr old
22yr old
22yr 5mo
22yr 5mo
22yr old
22yr old
23yr - EOTRH - This horse had all his lower incisors and the start of EOTRH in 2010
23yr - EOTRH - This horse had all his lower incisors and the start of EOTRH in 2010
23yr old
23yr old
23yr old
23yr old
23yr 1mo
23yr 1mo
23yr old
23yr old
23yr 4mo
23yr 4mo
23yr 5mo
23yr 5mo
23yr old
23yr old
23yr 4mo
23yr 4mo
23yr old
23yr old
23yr 2mo
23yr 2mo
24yr old, Relaxed space
24yr old, Relaxed space
24yr old
24yr old
24yr 2mo
24yr 2mo
24yr 11mo
24yr 11mo
25yr old
25yr old
25yr old
25yr old
25yr 6mo
25yr 6mo
25yr 1mo
25yr 1mo
26yr old
26yr old
26yr old
26yr old
27yr 3mo - EOTRH and an underbite but only from the forward displacement of the lower left incisors. Note more receding gums on the lower left tongue side  and upper left lip side than on the right.
27yr 3mo - EOTRH and an underbite but only from the forward displacement of the lower left incisors. Note more receding gums on the lower left tongue side and upper left lip side than on the right.
27yr old, EOTRH root enlargement, gum recession, red dots, tooth decay.
27yr old, EOTRH root enlargement, gum recession, red dots, tooth decay.
27yr 3mo
27yr 3mo
27yr 6 mo
27yr 6 mo
27yr 6 mo
27yr 6 mo
28yr old (almost a straight on view)
28yr old (almost a straight on view)
28yr 3mo
28yr 3mo
28yr old
28yr old
28yr 3mo
28yr 3mo
28yr 6mo
28yr 6mo
29yr old
29yr old
31yr Naturally opened mouth with ½ cheek teeth. Also tongue as cause of sharp canines and angle of incisors.
31yr Naturally opened mouth with ½ cheek teeth. Also tongue as cause of sharp canines and angle of incisors.
31yr 3mo
31yr 3mo
32yr old, EOTRH
32yr old, EOTRH
32yr old
32yr old
32yr old
32yr old
34yr old
34yr old
34yr 4mo
34yr 4mo
34yr old
34yr old
35yr old
35yr old
37yr old
37yr old
Back to Top